Científicos han encontrado por primera vez un espécimen vivo del 'Kuphus polythamia', un rarísimo tipo de gusano marino gigante, a pesar de saber de su existencia desde hace más de 200 años, según un estudio publicado en la revista académica 'Proceedings of the National Academy of Sciences of the United States of America'.
Su nombre en inglés es 'shipworm' o gusano de los barcos, y tiene nombres similares en alemán y en otros idiomas. Conocido en español como 'la broma', este "gusano", a pesar de su nombre y forma esbelta que recuerda a la de los gusanos que conocemos, es en realidad un bivalvo, la misma especie que las almejas y los mejillones.
"Las conchas son bastante comunes, pero nunca hemos tenido acceso a los animales que viven en su interior", afirmó Daniel Distel, director del Ocean Genome Legacy Center de la Universidad Northeastern (EE.UU.) y líder del equipo de investigación de EE.UU., Francia y Filipinas que encontró una colonia con estas criaturas "plantadas como zanahorias" en una laguna poco profunda en Filipinas.

La criaturas, conocidas también como 'termitas del mar' debido a su gusto por la madera podrida, tienen el récord mundial de la coraza más extensa: alcanzan hasta 1,55 metros de longitud y 6 centímetros de diámetro. Los 'Kuphus polythamia' pasan su vida envueltos en una coraza dura y sumergidos cabeza abajo en el barro.
El animal de aspecto extraño, encerrado en un caparazón con forma de tubo, podría provocarle pesadillas a más de uno, pero su descubrimiento ofrece a los científicos una oportunidad única de arrojar luz sobre los secretos que esconde este raro espécimen.
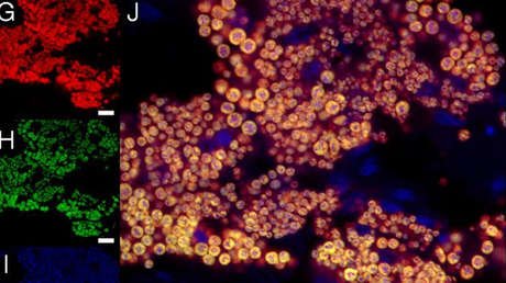
Los investigadores descubrieron que, a diferencia de otras especies similares, los 'Kuphus polythamia' contienen en su intestino bacterias únicas que utilizan sulfuro de hidrógeno, el gas que se produce por la descomposición de madera y otros materiales orgánicos en el fondo marino, para crear alimentos. Eso permite que estos "gusanos" vivan en zonas como lagunas de barro, inhabitables para otras criaturas de este tipo.

