Una mujer de 31 años sufrió hemorragias uterinas anormales durante tres meses, por lo que acudió a un ginecólogo, en Portugal, para que le quitaran el implante anticonceptivo que en 2017 le habían colocado en el brazo izquierdo. Al revisarla, el médico descubrió que el dispositivo no estaba en su lugar, publicó BMJ Journals.
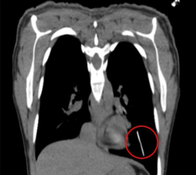
Para poder localizarlo le realizaron un estudio con ultrasonido que detalló que el Implanon NXT se había desplazado y estaba en el surco mamario izquierdo o en la pared costal lateral. Una radiografía fue lo que finalmente determinó que, en realidad, se hallaba en el lóbulo inferior del pulmón izquierdo.

Se programó entonces una cirugía toracoscópica asistida por video, sin resección pulmonar, con la que el implante pudo ser retirado. En las consultas siguientes, la mujer no presentó ninguna dificultad.
El Implanon NXT tiene la forma de una varilla delgada, similar a un fósforo, que se coloca bajo la piel. Actúa a través de la liberación de una hormona progestina que impide que los espermatozoides puedan llegar hasta un óvulo para fertilizarlo.
De acuerdo con un informe de 2017, las complicaciones con la inserción y la remoción de esos implantes anticonceptivos subcutáneos no son comunes y una "migración de más de dos centímetros no debería ocurrir" si su inserción fue realizada por profesionales debidamente preparados.
