Los médicos del hospital Mater Dei de Malta han hecho públicas unas resonancias magnéticas del cerebro de un hombre de 45 años consumidor habitual de cocaína que muestran el daño provocado por la sustancia. El caso ha sido descrito en la revista British Medical Journal.
Las imágenes le fueron tomadas a un paciente trasladado al servicio de urgencias del centro maltés por sus padres tras encontrarlo gravemente confundido y fuera de sí. El hombre presentaba sus pupilas dilatadas y "enérgicamente reactivas a la luz". No podía además realizar tareas simples era incapaz de seguir las órdenes de los galenos.
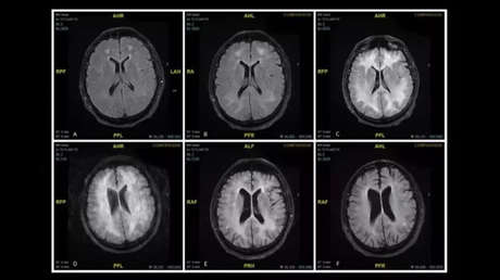
Después de diferentes exámenes, los especialistas determinaron que el hombre había sufrido un efecto secundario muy inusual, pero potencialmente peligroso, inducido por el narcótico y denominado leucoencefalopatía. De acuerdo con los médicos, el trastorno se puede presentar de distintas maneras, incluido un nivel alterado de la conciencia, confusión, lenguaje y visión alteradas, fiebre o espasticidad. Los registros de los escáneres mostraron la aguda degeneración de la materia blanca de su cerebro.
Tras dos semanas de tratamiento con esteroides, un intercambio de plasma y anticuerpos el paciente comenzó a mostrar mejoría y fue trasladado a una clínica de desintoxicación. Un año después, los exámenes determinaron que su capacidad cognitiva funcionaba de forma normal, aunque el cerebro seguía mostrando signos de los daños causados por la droga.
La doctora Ylenia Abdilla, que trató al varón, explicó: "Es un trastorno raro que puede causar una discapacidad significativa". También señaló que pronóstico generalmente es malo y puede ser rápidamente mortal, sin embargo, algunos casos raros se recuperan por completo, como este.


