La dentadura postiza de un británico de 72 años permaneció durante más de una semana atascada en su garganta luego de que el hombre se sometiera a anestesia general para un procedimiento quirúrgico.
Seis días después de que al paciente se le realizara una cirugía para extirparle una masa benigna del abdomen, el anciano se acercó a una sala de urgencias quejándose de dolor de garganta, dificultad para tragar alimentos y tos con sangre, recoge un informe publicado en la revista BMJ Journals.
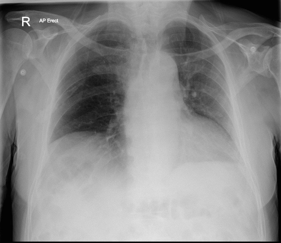
Basados en una radiografía de tórax, los médicos sospecharon que se trataba de una infección respiratoria y le recetaron antibióticos. Asimismo, consideraron que el problema de garganta era un efecto secundario de la intubación durante la operación.

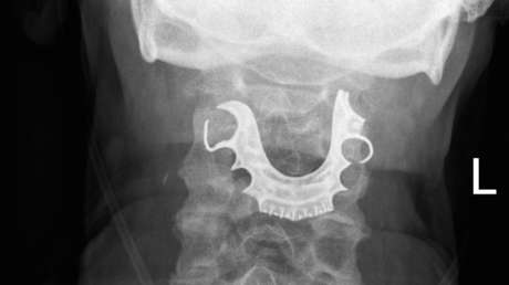
Dos días después regresó al centro de salud porque sus síntomas se habían agudizado: no había podido siquiera ingerir los medicamentos, tenía dificultad para respirar, principalmente al estar acostado, y el sangrado continuaba. Entonces los especialistas le revisaron la garganta y detectaron un objeto extraño sobre sus cuerdas vocales. Luego de una radiografía de cuello se pudo comprobar que se trataba de una pieza compuesta de tres dientes y un puente metálico.
El septuagenario mencionó que había perdido la prótesis después de la cirugía, lo que supone que pudo haberla tragado luego de ser anestesiado. Finalmente fue intervenido de emergencia para su extracción y dado de alta una semana después.

No obstante, el sangrado y la tos continuaron y obligaron al hombre a regresar varias veces al hospital. Una detallada revisión reveló una ruptura en una arteria a consecuencia del daño en los tejidos que había provocado la dentadura. Con nueva cirugía y varias trasfusiones de sangre el británico se recuperó totalmente.
El caso pone de manifiesto los peligros que puede suponer dejar prótesis dentales en la boca de cualquier persona a punto de ser sometida a un tratamiento quirúrgico. De acuerdo con la doctora Harriet Cunniffe, autora del informe, aunque en Reino Unido no existe una protocolo específico sobre el manejo de estos aditamentos durante un procedimiento que requiera anestesia, es de vital importancia cerciorarse de su presencia antes y después de que un paciente pase por un quirófano.

