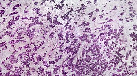
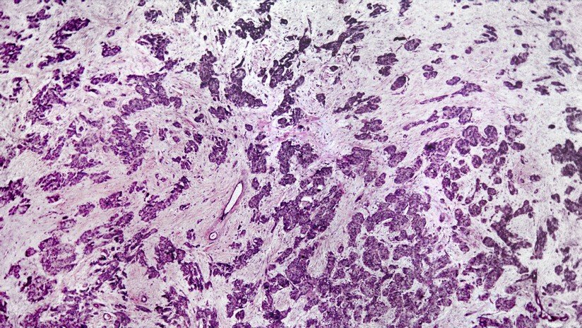
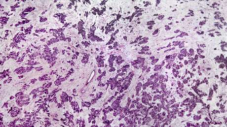
Científicos de la Agencia Internacional para la Investigación del Cáncer (IARC) han descubierto un nuevo subtipo de cáncer de pulmón no relacionado con el hábito de fumar, que se especifica con un mal pronóstico y una supervivencia más baja entre los pacientes.
De acuerdo con el estudio, recientemente publicado en la revista Nature, se trata de un nuevo grupo de tumor carcinoide que normalmente deriva de las células del sistema endocrino difuso, bautizado 'supracarcinoide'. El hallazgo fue posible gracias a tecnologías innovadoras de secuenciación que proporcionan información sobre las características moleculares de los tumores, explican los científicos.
Por lo general solo un 33% de los pacientes con este tipo de cáncer sobrevive a los primeros 10 años de la enfermedad en comparación con el 76% de los pacientes que sufren otros tipos de cáncer pulmonar, señala la coautora del estudio, Lynette Fernández-Cuesta.
El estudio también ayudó a los científicos a elaborar un mapa molecular del cáncer de pulmón, necesario para la selección del tratamiento adecuado para cada paciente.
Además, los investigadores han desarrollado una herramienta que permite distinguir a los pacientes con un pronóstico favorable de aquellos con más posibilidades de no superar la enfermedad.


