Científicos de Mayo Clinic han asociado los daños pulmonares ocasionados por el vapeo con las lesiones que producen las quemaduras químicas en los órganos. A través de un estudio publicado este miércoles The New England Journal of Medicine, los especialistas sugieren la posibilidad de una toxicidad pulmonar directa debido a la inhalación de agentes nocivos.
La investigación analizó las biopsias pulmonares de 17 pacientes de EE.UU., entre 19 y 67 años, con antecedentes de vapeo, en su mayoría con marihuana o aceites de cannabis. En 11 casos se confirmó la presencia de lesiones pulmonares relacionadas a esta práctica, mientras que en los seis restantes solo se diagnosticó la probabilidad de esta asociación.

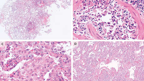
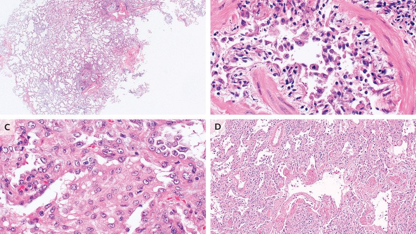
Sin embargo, en todos los casos se encontraron patrones de lesiones pulmonares agudas, e incluso dos pacientes murieron con daño alveolar difuso (DAD). "Nuestros 17 casos muestran un patrón de lesión en el pulmón que se parece a una exposición química tóxica", señaló el doctor Brandon Larsen, autor principal de estudio, a The New York Times.
"Para ser honesto, se ven como el tipo de cambio que esperaría ver en un desafortunado trabajador en un accidente industrial donde se derrama un gran barril de productos químicos tóxicos, y esa persona está expuesta a humos tóxicos y hay una quemadura química en el vías aéreas", agregó Larsen.
El doctor explicó que los pacientes con enfermedad pulmonar por vapeo tenían lesiones en los tejidos y muerte celular tanto en el revestimiento de sus vías respiratorias como en los pulmones. A medida que el organismo intenta sanar, las células muertas se desprenden de las vías respiratorias y pueden bloquearlas aún más.
Frente a este hallazgo, los científicos contemplan la necesidad de investigar no solo los aceites que está usando la población, sino los compuestos químicos para determinar cuáles son perjudiciales para la salud.

