Un estudio antropológico realizado en la India revela que los originarios de este país tienen de promedio un cerebro de dimensiones más pequeñas y de volumen menor que la población europea o que los coreanos. En casi todos los parámetros (a excepción del largo) les aventajan sus vecinos del este: los chinos.
Los investigadores a cargo del ensayo practicaron resonancias magnética a 100 indios jóvenes y sanos, provenientes de distintas regiones. Los examinados -la mitad mujeres- tenían edades comprendidas entre 21 y 30 años y eran en su mayoría estudiantes de pregrado o posgrado.
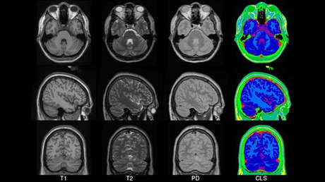
Con los datos recabados, el equipo midió el tamaño exterior y la microarquitectura de cada cerebro, con el objetivo de componer un "atlas cerebral" (IBA100) similar a aquellos que ya existen para la población caucásica europea y canadiense, o para chinos y coreanos.
El artículo, que ha aparecido publicado este mes en la revista Neurology India, considera imprescindibles este tipo de atlas para lograr una "normalización espacial", ya que se trata de un "paso crítico" en las técnicas automatizadas de análisis para procesar las imágenes obtenidas por resonancia magnética (IRM) y poder diagnosticar patologías.
Una vez unificados los datos, los autores del estudio pasaron a compararlos con análogos de los años 90 y otros más recientes del Instituto Neurológico de Montreal (Canadá), que se usan ampliamente como sistemas de referencia. Este análisis les permitió llegar a la conclusión inequívoca de que "hay una diferencia significativa entre el tamaño general del cerebro indio y el caucásico". El primero es normalmente menor en las tres dimensiones (largo, ancho, alto) que el otro y la diferencia "se extiende al nivel estructural".
Toda la muestra india "es más comparable con los atlas de sus vecinos geográficos, concretamente los chinos y los coreanos", mientras que la población europea se sitúa muy distante.
Diferencia "alarmante"
La autora principal del estudio, Jayanthi Sivaswamy del Centro de Tecnología para la Información Visual, con sede en la ciudad india de Hyderabad, hizo un comentario que recoge este martes el periódico The Times of India que permite apreciar la repercusión médica de este descubrimiento.
"Como los cerebros indios son más pequeños en comparación con MNI [las muestras de Montreal], la diferencia en los escaneos puede parecer alarmante y llevar a un diagnóstico erróneo", afirmó. Según ella, solo al comparar las IRM indias con los materiales canadienses previos a este estudio se podrá diagnosticar a los pacientes de forma correcta.
Asimismo, la investigadora defiende la necesidad de elaborar un atlas más grande que permita "comprender los que es estructuralmente normal" y ayude a detectar temprano varias afecciones cerebrales entre los indios.

