Médicos canadienses informaron sobre un caso inusual, en el que los implantes mamarios de silicona de una mujer le salvaron la vida, al detener una bala que iba directamente a su corazón.
Según el informe, publicado a principios de abril en la revista Plastic Surgery Case Studies, la mujer, de 30 años, caminaba por una calle de Ontario (Canadá) en el 2018 cuando de repente sintió "calor y dolor en el pecho izquierdo" y al mirar hacia abajo, vio que estaba sangrando.
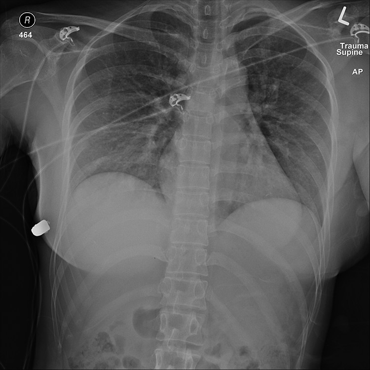
El equipo médico de un hospital local descubrió una herida de bala en la parte superior de su seno izquierdo. Las marcas de quemaduras alrededor de la herida indicaban que a la mujer le dispararon a corta distancia. La bala se alojó bajo su pecho derecho, habiendo entrado en el pecho izquierdo, fracturando una costilla en el proceso, antes de detenerse en el lado derecho de su cavidad torácica.

Las pruebas hechas después de la operación revelaron solo daño en el tejido pulmonar, y mostraron que la bala había pasado por ambos implantes.
Tras una reconstrucción de la trayectoria de la bala a través del pecho de la mujer, el equipo médico concluyó que habría impactado en su corazón de no ser por el implante izquierdo. "Este implante cubre el corazón y la cavidad intratorácica y por lo tanto probablemente salvó la vida de la mujer", afirmó el equipo de investigación dirigido por el cirujano plástico Giancarlo McEvenue.

Respecto al crimen, este sigue sin resolverse: la Policía no ha encontrado a la persona que le disparó a la mujer ni el arma.

