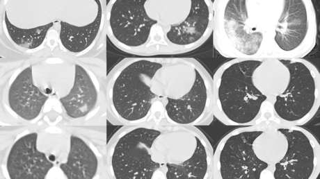
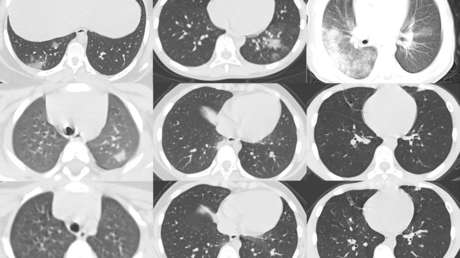
Un equipo de médicos del hospital infantil de Boston (EE.UU.), liderado por la radióloga Alexandra Foust, evaluó tomografías computarizadas de casos pediátricos del covid-19 para revelar las características más comunes de la condición.
Según los Centros para el Control y Prevención de Enfermedades del país, el 1,7 por ciento de los casos del nuevo coronavirus es registrado en pacientes menores de 18 años, por lo que se conoce muy poco sobre sus efectos sobre la salud de los niños.
Para investigar más detalles, los científicos decidieron comparar el daño provocado por el covid-19 en los pulmones de niños con otras enfermedades respiratorias conocidas, entre ellas los coronavirus SARS y MERS, así como la gripe H1N1 y EVALI. Para ello reunieron varios estudios y observaron los cambios más obvios en los pulmones de los niños infectados con el nuevo coronavirus.
Los resultados de su investigación, publicados en la revista American Journal of Roentgenology, citan un estudio que reveló, gracias a tomografías computarizadas de tórax, que casi dos tercios de los 20 niños menores de 14 años con el covid-19 observados en Wuhan (China) presentaban opacidad en vidrio esmerilado, un indicativo de que existe una inflamación generalizada.
Además, la mitad de los pacientes mostraban la condición conocida como 'el signo del halo', que hace que la inflamación rodee una masa conocida como consolidación, que dificulta la respiración debido a la presencia en los alvéolos pulmonares de sustancias como líquido o infección. La consolidación es un síntoma de neumonía y puede causar problemas respiratorios porque el aire inhalado no puede atravesar la masa obstructora.
Foust escribió que, "aunque hay algunas características de imágenes superpuestas de estos trastornos", "una evaluación cuidadosa" de las características mencionadas en el estudio permite a los especialistas "ofrecer un diagnóstico diferencial más concreto en pacientes pediátricos".
"Aunque los síntomas clínicos de la neumonía por SARS, H1N1, MERS, EVALI y Covid-19 en pacientes pediátricos pueden ser inespecíficos, algunos hallazgos de imagen característicos han surgido o están surgiendo actualmente. Es esencial que los radiólogos comprendan claramente las características de imagen de estos trastornos pulmonares en pacientes pediátricos para garantizar una atención óptima del paciente", concluye el estudio.


