Imágenes de resonancia magnética de una italiana diagnosticada con el covid-19 y que desarrolló la pérdida del olfato, entre otros síntimas, mostraron signos de "invasión cerebral viral", revela un estudio publicado en la revista JAMA Neurology.
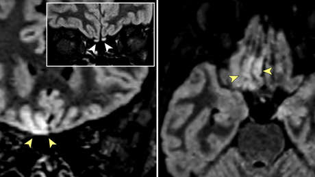
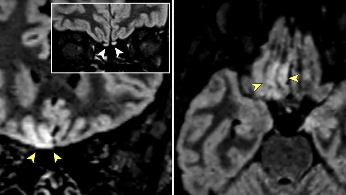
La mujer, de 25 años, que dio positivo por el coronavirus, tenía síntomas leves de la enfermedad, pero la resonancia magnética reveló una inflamación en su bulbo olfatorio, la estructura neural del cerebro involucrada en el sentido del olfato, que era "sugestivo de la infección viral".
"Hasta donde sabemos, este es el primer reporte de una participación del cerebro humano 'in vivo' en un paciente con covid-19 que muestra una alteración de la señal compatible con la invasión cerebral viral en una región [...] cortical que está asociada con el olfato", señalaron los autores del informe.
La paciente logró recuperarse de todos los síntomas del covid-19 unas semanas después de la infección.
"Según los hallazgos de la resonancia magnética, incluidos los ligeros cambios en el bulbo olfativo, podemos especular que el SARS-CoV-2 podría invadir el cerebro a través de la vía olfatoria y causar una disfunción olfativa de origen neurosensorial", concluyeron los investigadores, quienes subrayaron la necesidad de realizar más pruebas para confirmar su hallazgo.


