Un grupo internacional de investigadores ha descubierto un daño pulmonar persistente y extenso en personas que han fallecido a causa del covid-19, lo que podría ayudar a los médicos a entender mejor un síndrome presente en algunos pacientes, conocido como 'covid largo' y caracterizado por la presencia de los síntomas de la enfermedad por un periodo de tiempo extendido.
Durante el estudio, que fue publicado este martes en EBioMedicine, los científicos analizaron muestras de tejido pulmonar, hepático y renal de 41 pacientes que fallecieron a causa del coronavirus en el Hospital Universitario de Trieste (Italia) al inicio de la pandemia, entre febrero y abril de 2020.
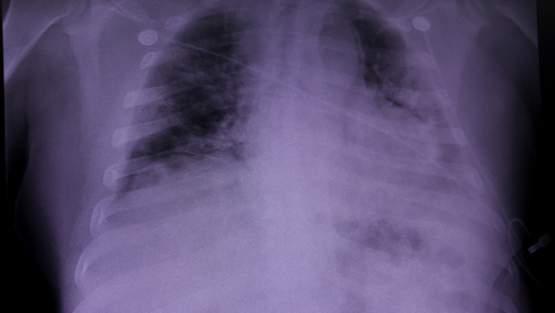
Tras los análisis, los investigadores identificaron que el 90 % de las personas estudiadas mostraron una extensa coagulación de la sangre de las arterias y venas del pulmón (trombosis), así como la presencia de varias células pulmonares anormalmente grandes y con muchos núcleos, producto de la fusión de diferentes células en una sola célula grande, ambos síntomas característicos del covid-19 en comparación con otras formas de neumonía.
Por su parte, Mauro Giacca, coautor del estudio, apuntó que no se encontraron signos de infección viral o inflamación prolongada en otros órganos, y que identificaron "una destrucción realmente vasta de la arquitectura de los pulmones", en la que el tejido pulmonar sano fue "casi completamente sustituido por el tejido cicatricial".
Asimismo, el investigador señaló que "los hallazgos indican que el covid-19 no es simplemente una enfermedad causada por la muerte de las células infectadas con el virus, sino que es probablemente la consecuencia de que estas células anormales persistan durante largos períodos dentro de los pulmones".
Del mismo modo, los autores descubrieron que la presencia de células infectadas por SARS-CoV-2 es capaz de provocar sensibles cambios estructurales en la anatomía pulmonar, mismos que pueden persistir durante varias semanas o meses y podrían explicar eventualmente el 'covid largo'.
De acuerdo a la Organización Mundial de la Salud, la pandemia de coronavirus se ha agudizado, alcanzando un número de contagios superior a los 3,3 millones durante la semana pasada, lo que representa una cifra récord semanal de transmisión del virus.
Hasta el momento, el organismo internacional ha reportado a nivel mundial un total de 46.840.783 casos de covid-19, así como el fallecimiento de 1.204.028 personas a causa de la enfermedad.
Si te ha gustado, ¡compártelo con tus amigos!

