Una picadura de abeja en el globo ocular es una situación clínica poco común que puede causar una discapacidad visual grave. Recientemente, un grupo de médicos describió en detalle los síntomas y el curso del tratamiento de un paciente joven que llegó a un hospital una hora después de haber sido picado por uno de esos insectos en el ojo izquierdo.
De acuerdo con el caso, reportado la semana pasada en la revista especializada The New England Journal of Medicine, el hombre, de 22 años, acudió a un servicio de urgencias con enrojecimiento, dolor y visión disminuida. Un examen en su ojo sano demostró que tenía una agudeza visual normal, pero con el otro solo podía distinguir el movimiento de una mano cerca de la cara.
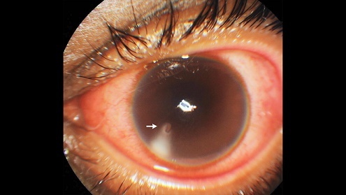
Posteriormente, los especialistas revisaron en detalle el globo ocular afectado y descubrieron un aguijón incrustado en la córnea que había provocado un edema y una opacidad difusa a su alrededor. Los médicos lo extrajeron mediante una cirugía con anestesia y la córnea fue saturada luego de una limpieza en la cámara anterior del ojo, una zona entre esta última y el iris.
ADVERTENCIA: LA SIGUIENTE IMAGEN PUEDE HERIR SU SENSIBILIDAD

El hombre fue tratado con una solución oftálmica de antibióticos y se le recetó un curso de dos semanas de glucocorticoides tópicos, entre otros fármacos. A los tres meses de seguimiento, el edema corneal había desaparecido, pero su agudeza visual estaba disminuida.
Las lesiones oculares provocadas por abejas y avispas ocurren por lo general por la ausencia de gafas de protección durante labores de jardinería, en trabajo agrícola o durante paseos en bicicleta. Las complicaciones por sus picaduras obedecen al veneno que inoculan a través de sus aguijones y que al entrar en contacto con el humor acuoso (líquido incoloro dentro del ojo) es el responsable de la reacción aguda, que se traduce en escozor, dolor, picor, enrojecimiento e inflamación.
"Las picaduras de abejas en la córnea, aunque raras, pueden tener manifestaciones que van desde una leve irritación hasta la pérdida de la visión. Las posibles complicaciones incluyen descompensación corneal y glaucoma", se subraya en el caso.
Si te ha gustado, ¡compártelo con tus amigos!

