Desde que fue descrita por Charles Darwin en 1859, la evolución ha sido considerada como un proceso de cambio constante que ha originado incontables formas de vida sobre el planeta, y que ha permitido a las especies adaptarse al medio en el que habitan. Sin embargo, no todos los organismos han evolucionado con la misma rapidez, como lo demostró un equipo internacional de investigadores que descubrió que unas bacterias del subsuelo han permanecido prácticamente sin cambios desde hace más de 175 millones de años.
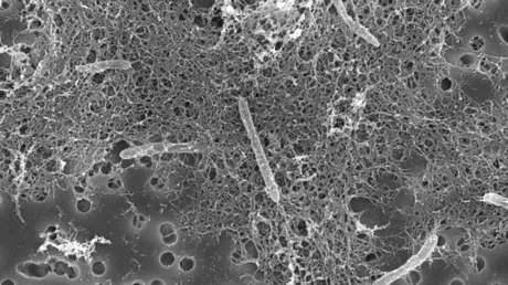
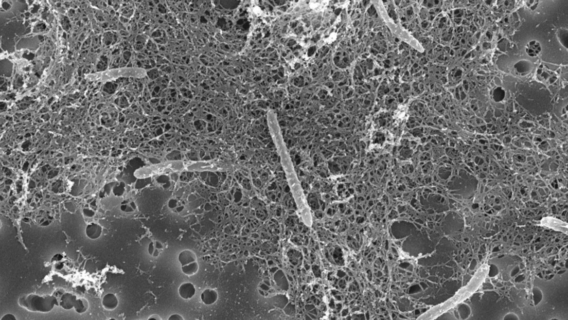
En su más reciente estudio, los científicos analizaron las muestras de material genético de 'Candidatus Desulforudis audaxviator', una bacteria descubierta recientemente en una mina de oro sudafricana que habita en el subsuelo de diversos continentes a una profundidad cercana a los 3.000 metros. Este raro espécimen se alimenta de los residuos producidos por la desintegración radiactiva del uranio, el potasio y el sodio.
Tras comparar los resultados de las 126 muestras recolectadas en Norteamérica, Eurasia y África, los académicos descubrieron que los microbios estudiados han permanecido en un estado conocido como 'estasis evolutiva' por al menos 175 millones de años, es decir, que apenas habían presentado cambios evolutivos desde la última vez que cohabitaron en la misma masa continental, antes de que el supercontinente Pangea se separara a comienzos del Mesozoico.
Este hallazgo, explica Eric Becraft, autor principal del estudio, confirma que algunos organismos entran a la 'carrera evolutiva' a toda velocidad, mientras que otros ralentizan este proceso al punto de mantenerse prácticamente sin cambios durante millones de años. "Este descubrimiento demuestra que debemos tener cuidado al hacer suposiciones sobre la velocidad de la evolución y cómo interpretamos el árbol de la vida", agregó.
"Parecen ser fósiles vivientes de aquella época", comentó Ramunas Stepanauskas, coautor del estudio, acerca de estos primitivos microorganismos. Asimismo, señaló que los resultados de la investigación, publicados recientemente por Nature, "van en contra de la comprensión contemporánea de la evolución microbiana", lo que pone en perspectiva las estrategias adaptativas y evolutivas de los organismos que habitan el planeta.
Si te ha gustado, ¡compártelo con tus amigos!


