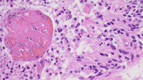
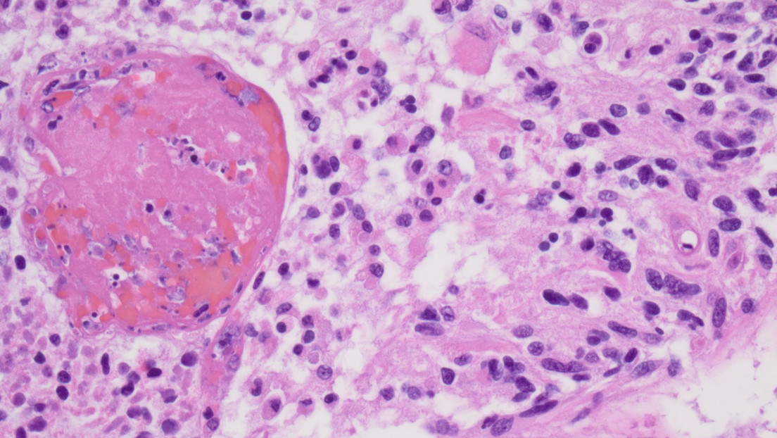
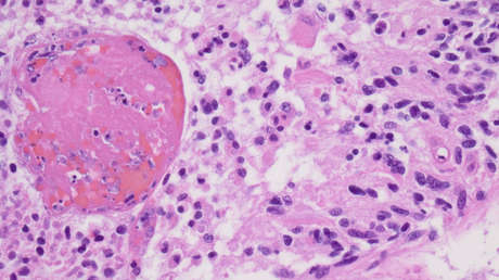
Un grupo de investigadores, coordinado por el Instituto de Investigación Sanitaria Biodonostia (España), anunció este miércoles haber detectado claves de la progresión del glioblastoma, el tumor cerebral más común y agresivo en la edad adulta, que se caracteriza por presentar células madre malignas.
De acuerdo con los científicos, la mayoría de los tumores muestra "una población de células que tienen características similares a las células madre", como la capacidad de renovarse de forma indefinida o de diferenciarse del resto de las células. Este hecho hace que "sean las que inician y mantienen el tumor, además de ser las responsables de la recurrencia de los tumores y de la resistencia a las terapias antitumorales". En otras palabras, la eliminación de esas células madre malignas podría determinar "el fin del tumor y su recurrencia".
El equipo detalló que pudo identificar una relación entre el desarrollo del glioblastoma y la autofagia mediada por chaperonas –un mecanismo que protege las células de la acumulación de toxinas y elimina moléculas dañadas– en células madre malignas.
Las células madre cancerosas utilizan ese tipo de autofagia para mantenerse funcionales por un período indefinido y enfrentarse al ataque de los tratamientos quimioterápicos, explican los investigadores en un estudio publicado esta semana en la revista Cancer Research, de la American Association for Cancer Research.
Allí señalaron que su estudio reveló "una capacidad previamente desconocida de las células madre malignas para modular la autofagia mediada por chaperonas, permitiendo su supervivencia y promoviendo así la progresión del tumor". Además, los resultados identificaron ese tipo de autofagia como "una nueva diana terapéutica prometedora para tratar el glioblastoma", cáncer cerebral que hasta el momento no tiene cura.
Si te ha gustado, ¡compártelo con tus amigos!

