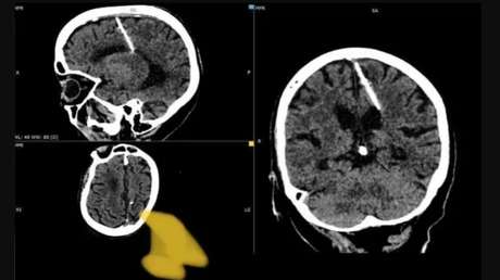
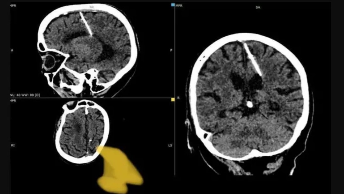
En la provincia rusa de Sajalín, unos radiólogos encontraron una aguja de 3 centímetros en el cerebro de una anciana de 80 años, informa el canal de Telegram del Ministerio de Sanidad de la región. Pese al tamaño del objeto y el lugar de incrustación, la mujer nunca experimentó ninguna incomodidad por su causa.
La mujer convive con el cuerpo extraño desde su nacimiento, ya que sus padres decidieron matarla clavándole la aguja durante la hambrienta en tiempos de la Segunda Guerra Mundial. En aquella época estos casos no eran infrecuentes: se introducía en la fontanela del bebé una fina aguja que dañaba el cerebro, causando la muerte y permitiendo ocultar la verdadera causa del fallecimiento.
Esta mujer tuvo suerte, ya que la aguja no solo no la mató, sino que tampoco le causó secuelas en forma de dolores de cabeza. Ahora la salud de la paciente no corre peligro y su estado está siendo vigilado por los médicos. Se decidió no realizar una intervención quirúrgica, ya que solo podría empeorar su estado.


