Un equipo de científicos dirigido por especialistas de la Universidad Estatal de Ohio (EE.UU.) avanzó por primera vez en la comprensión de por qué no duelen las lesiones cutáneas deformantes causadas por la leishmaniasis cutánea. La falta de dolor en las lesiones ha desconcertado a los científicos durante años, especialmente porque ampollas similares causadas por otras afecciones de la piel pican, supuran y duelen. La investigación podría conducir al desarrollo de nuevos analgésicos no narcóticos.

Leishmaniasis cutánea
Esta enfermedad tropical de la piel es causada por 'Leishmania mexicana', un protozoo parásito intracelular obligado que se transmite por las picaduras de insectos conocidos como moscas de arena. Las infecciones cutáneas suelen producir úlceras en la piel que pueden tardar hasta meses en aparecer después de la infección. Si se permite que progresen las lesiones, la enfermedad puede causar cicatrices deformantes.
Analgésicos potenciales
"Nadie sabe por qué estas lesiones son indoloras, pero se cree que el parásito manipula de alguna manera el sistema fisiológico del huésped", comentó Abhay Satoskar, autor principal del estudio. Satoskar señala que "algo que hacen los parásitos desencadena vías que suprimen el dolor". El experto puntualiza que todavía se encuentran investigando cómo lo logran. "Nuestra hipótesis es que cualquier molécula que produzca la presencia del parásito podría ser un analgésico potencial para otros problemas de salud", afirma.
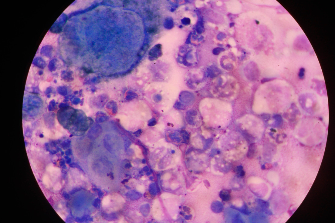
Avances experimentales
Los investigadores analizaron las lesiones de leishmaniasis en la piel de ratones para detectar vías de señalización metabólica que diferían de las de los ratones no infectados. Después de provocar infecciones crónicas con 'L. mexicana', encontraron numerosas moléculas que estaban relacionadas con el bloqueo de la percepción del dolor y vías metabólicas con propiedades de alivio del dolor ligadas al sistema endocannabinoide del cerebro.
Los científicos detectaron el incremento de algunas de estas moléculas clave en un cultivo celular de macrófagos, que son las células inmunes infectadas por el parásito, pero descubrieron que ciertas vías de supresión del dolor no aumentaron en estas células lo que generó ciertas incógnitas. El estudio fue publicado este jueves en iScience.
"La infección hace algo en la célula que podría ser un efecto directo o indirecto; no lo sabemos. Pero el ambiente que crea la infección conduce a la producción de estos metabolitos", subrayó Satoskar. "Lo emocionante es que esta es la primera vez que logramos comprender la base celular de por qué no hay dolor en estas lesiones", añadió.

"La siguiente pregunta clave es: si sabemos que estas vías son las responsables, ¿cómo se activan? ¿Por el parásito, por algo que el parásito le hace a la célula huésped o una combinación de ambos? Podrían estar sucediendo muchas cosas", precisó el experto.



