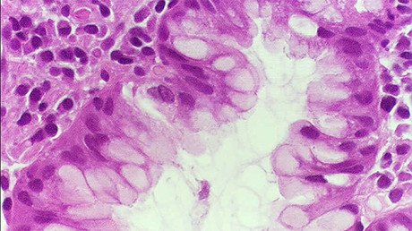
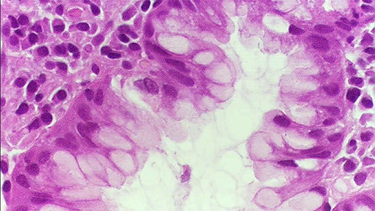
La 'superbacteria' resistente a todos los métodos de tratamiento existentes llegó a Europa a través de la carne de pollo y causa una fuerte neumonía imposible de curar, informa el diario 'The Sun'.
El primer caso ha sido registrado en Dinamarca, donde recientemente han hospitalizado a un paciente. Los análisis han revelado que la bacteria que afectó al ciudadano danés es una nueva versión mortífera de las bacterias del tipo 'Escherichia coli', que contienen un gen mutado conocido como MCR-1 y es resistente a los antibióticos más potentes, incluso a la colistina.
Las opiniones entre la comunidad científica respecto a un posible tratamiento de la 'superbacteria' y el futuro que nos podría deparar, son divergentes. Científicos daneses creen que los médicos podrían intentar mezclar varios medicamentos buscando una combinación que mate la bacteria. Por su parte, expertos de la Universidad de Birmingham son menos optimistas y sostienen que es solo cuestión de tiempo para que aparezcan combinaciones peores de la 'superbacteria'.

