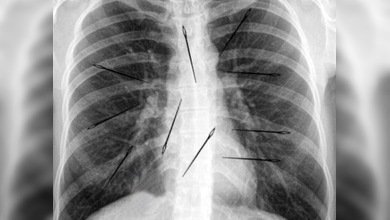
Más de 20 agujas en el cuerpo de una mujer brasileña fueran descubiertas por médicos del estado brasileño de Pará en la Amazonia, informan medios locales. La mujer, de 35 años, visitó al médico con quejas de dolor de oído y las agujas fueron encontradas casualmente a través de una radiografía de tórax. El examen médico mostró que en su cuerpo se encontraban entre 24 a 26 agujas de acero en sus tejidos blandos.
Próximamente una junta médica tendrá que decidir si hace falta una intervención quirúrgica para extraer los cuerpos extraños. Según datos recabados, la mujer nació en la familia de una costurera y en su infancia tenía libre a agujas, las que solía introducir en su cuerpo cuando tenía entre 9 y 11 años. Lo insólito del caso es que la misma paciente no se acuerda de esto y nunca jamás se ha quejado de dolor en estos 20 años.
Un caso similar hubo a principios de este año, cuando médicos operaron a un niño de dos años a quien su padrastro le había introducido, al menos, 31 agujas de coser en el cuerpo.

