Un grupo de cirujanos chinos lograron quitar un palillo de madera para comer a un paciente que lo había tragado hacía casi 30 años.
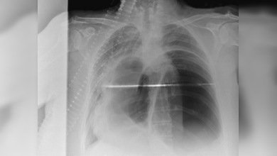
Hace poco, el paciente de cincuenta años, apellidado Van, fue hospitalizado en la ciudad de Shangái con un dolor agudo en el estómago. El examen mostró que en el estómago del hombre se encontraba la mitad de un palillo para comer de madera que, según el mismo paciente, tragó sufriendo un estrés muy grande hacía 28 años.
El objeto ajeno dañó gravemente las paredes estomacales del hombre, lo que causó el empeoramiento de su estado. Los médicos necesitaron varias horas para sacar este 'cubierto' chino del cuerpo del paciente. Ahora, por suerte, se encuentra estable.
Van contó que el temor a ser intervenido le hizo vivir con este palillo dentro durante casi 30 años. También comentó que a lo largo de este periodo, el objeto no le había provocado ningún tipo de molestia.

