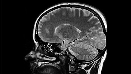
El equipo de cirujanos encabezado por Hrayr Shahinian del Skukkbase Institute de Los Ángeles descubrió que el supuesto tumor de la mujer era, en realidad, el embrión de su gemelo, que nunca llegó a desarrollarse, aunque presentaba huesos, pelo y dientes.
Sepa más:'Revivir en el futuro': Criogenizan a una niña de 2 años hasta encontrar cura a su cáncer
El médico explicó a la NBC de Los Angeles que los tumores de este tipo, conocidos como teratoma, son muy escasos. "Este es mi segundo caso, y eso que probablemente habré extirpado entre 7.000 u 8.000 tumores cerebrales", explicó.
La paciente se recuperó tras la operación y decidió guardar los restos de su hermano gemelo en un frasco.

