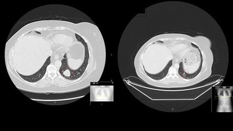
El tratamiento fue recibido el pasado domingo como una gran noticia en el congreso anual de la Sociedad Americana de Oncología Clínica (ASCO), en Chicago. No en vano, los resultados del fármaco reflejan una alta eficacia en diferentes tipos de cáncer, incluyendo los de ovario, pulmón, útero y colon, lo que podría permitir a la medicina precindir de la quimioterapia y la radioterapia tradicionales.
Vea también: Impresionante video: Células 'asesinas en serie' atrapan y matan células cancerosas
Según informa 'DailyMail', se trata de un fármaco perteneciente a la nueva generación de medicamentos biotecnológicos. En concreto, consiste en un anticuerpo que bloquea el Factor de Crecimiento Endotelial Vascular (VEGF), una proteína clave en la angiogénesis, el proceso de crecimiento desmedido de los vasos sanguíneos que alimentan el tumor y que hacen que, en consecuencia, éste también crezca y se expanda a otras partes del cuerpo.
Según los investigadores, los resultados de los ensayos clínicos realizados en 950 pacientes con melanoma son realmente esperanzadores, ya que los tumores retrocedieron o se estabilizaron en más de la mitad de los casos. Además, la combinación de varios fármacos derivó en la desaparición completa del tumor en más de uno de cada 10 casos.
Lea también: Cannabis medicinal: ¿Esperanza para los enfermos o excusa para el dopaje?
Los investigadores aseguran estar "al comienzo de nueva era en el tratamiento de cáncer", lo que podría salvar unas 50.000 personas que anualmente mueren por esta causa.

