Un residente de Malasia de 54 años sufrió graves heridas en un ojo como consecuencia de la caída de un durián, una fruta asiática conocida por su olor nauseabundo, que lo golpeó en la cabeza, según un estudio de caso publicado este martes en la revista médica Cureus.
El hecho ocurrió mientras la víctima del accidente pasaba caminando bajo un árbol de casi cuatro metros de alto. El fruto, de aproximadamente tres kilos, cayó e impactó con tal fuerza en la cabeza del hombre que lo dejó inconsciente.
Su familia lo llevó de urgencia al hospital, donde los médicos observaron múltiples abrasiones en la frente y la mejilla derecha. Asimismo, presentaba una laceración en el párpado superior derecho.
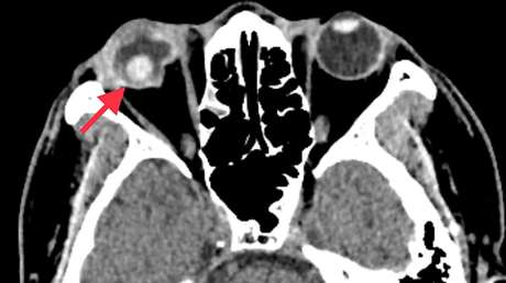
Pero la herida más grave fue un traumatismo a globo abierto: una lesión que compromete todo el globo ocular.
El paciente fue sometido a una cirugía para extraerle una espina de tres milímetros de largo que se le había incrustado. Una tomografía computarizada reveló una ruptura del globo ocular, así como una luxación posterior del cristalino en el interior del ojo.
El hombre fue recetado con prednisona, un medicamento antiinflamatorio del grupo de corticosteroides, pero rechazó continuar el tratamiento a pesar de las advertencias de los doctores.
Los autores de la publicación precisan que el paciente sufrió una pérdida parcial de la visión en el ojo afectado y el problema persistía seis meses más tarde, cuando se realizó una nueva revisión médica.
Se trata de un tipo de trauma sumamente raro, con solo cuatro casos conocidos de lesiones oculares por impacto de frutos de durián, concluyen los investigadores.
Si te ha parecido interesante, ¡compártelo con tus amigos!

