Las autoridades sanitarias de EE.UU. están investigando un aumento inexplicable en una inusual infección cerebral en niños en la ciudad de Las Vegas y sus alrededores, en el estado de Nevada, así como en otras partes del país.
Una investigación de los Centros para el Control y la Prevención de Enfermedades (CDC, por sus siglas en inglés) encontró 18 casos de abscesos cerebrales en el condado de Clark, Nevada, en 2022, lo que significa más del triple que los cinco diagnósticos reportados en los últimos cinco años por el distrito de salud de la zona.
"En mis 20 años de experiencia nunca había visto algo así", manifestó la doctora Taryn Bragg, profesora asociada de la Universidad de Utah y neurocirujana que trató los casos y alertó a las autoridades. "Después de marzo de 2022, hubo un gran aumento" de abscesos cerebrales, explicó.
Los menores fueron hospitalizados durante unas dos semanas en promedio y más del 80% necesitaron de cirugía cerebral. Ninguno murió a causa de la infección.
Tras una presentación sobre el tema en la conferencia del Servicio de Inteligencia Epidémica, organizada la semana pasada por los CDC, médicos de otras partes de Estados Unidos también alertaron de un aumento en este tipo de diagnósticos.
En ese sentido, el doctor Sunil Sood, especialista en enfermedades infecciosas pediátricas de la red de atención médica Northwell Health en Nueva York, comentó que recientemente han visto aproximadamente el doble de casos de lo habitual en niños. "Estamos impresionados con los números que estamos viendo en este momento", remarcó.
Hasta el momento, las autoridades no encontraron una respuesta a la situación. "Se necesita más investigación para identificar los factores de riesgo específicos y las causas de esta rara afección, y la vigilancia debe continuar para comprender las tendencias futuras", afirmaron los investigadores del Servicio de Inteligencia Epidémica de los CDC.
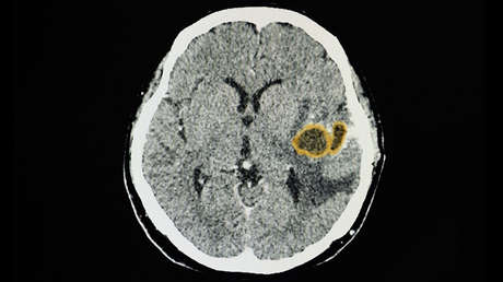
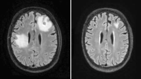
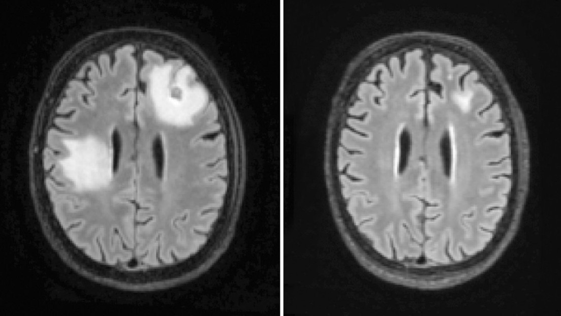
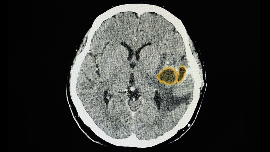
Un absceso cerebral es una acumulación de pus y material infectado en el tejido del cerebro. Pueden causar convulsiones, trastornos visuales o cambios en la visión, el habla, la coordinación o el equilibrio. Su tratamiento a menudo incluye procedimientos quirúrgicos.


