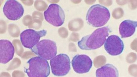
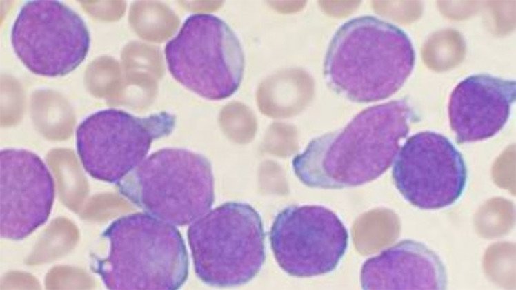
Los científicos se percataron en una observación casual en su laboratorio de que varias células leucémicas se habían transformado en macrófagos, escribe el servicio de información de la entidad.
Lea también: Los 10 mitos derribados sobre el cáncer
Los macrófagos son las células del sistema inmunológico que no solo devoran células patógenas y cancerígenas sino que también 'instigan' a otros agentes del sistema a luchar contra estas.
Lea también: Descubren una sorprendente cualidad del café en la lucha contra el cáncer
Diversos factores de transcripción, es decir, proteínas capaces de engancharse al ADN y activar sus secuencias específicas, obligaron a estas células de cáncer a convertirse en macrófagos.
Lea también: Crean un dispositivo capaz de detectar el cáncer en tan sólo una hora
"El hecho de que las células de macrófagos procedan de las células cancerosas significa que ya llevan en sí mismas las señales químicas de las células cancerosas, lo que aumenta las probabilidades de un ataque del sistema inmunológico contra el cáncer", dijo Ravi Majeti, miembro del equipo de Stanford.
Lea también: ¿Trasplante de cabeza? Se desata polémica tras el anuncio de que podría hacerse dentro de dos años
Ahora que el mecanismo celular se conoce, el próximo objetivo de los científicos es encontrar un medicamento que provoque los mismos cambios de ADN de la célula cancerígena y así sirva como base para tratar esta enfermedad mortal.

