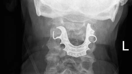
Una clínica estomatológica de la ciudad rusa de San Petersburgo exigió a uno de sus pacientes la devolución del implante dental y de las prótesis que le habían colocado previamente, comunica un bufete local de abogados en su cuenta de Facebook.
Anteriormente, el paciente, no conforme con la calidad del implante que le pusieron, demandó a la clínica. Un tribunal falló a su favor y ordenó al centro médico pagarle una indemnización de 920.000 rublos (unos 11.700 dólares).
Más tarde, el consultorio decidió tomar represalias por vías legales y exigió la devolución de los accesorios ortopédicos, así como del dinero de la compensación, al considerar que se trataba de un enriquecimiento injusto. Sin embargo, este jueves el tribunal desestimó el reclamo, argumentando que esos accesorios no representan un valor de mercado para el paciente y son materiales fungibles para la prestación de los servicios de la clínica.
Además, la corte dictaminó que la indemnización pagada no constituye un enriquecimiento indebido, ya que se trata de una forma de compensar por vías legales los daños materiales y morales ocasionados al violar los derechos del consumidor.
Si te ha gustado, ¡compártelo con tus amigos!


